Nam bệnh nhân gãy cùng lúc hai xương đòn sau tai nạn giao thông

17 giờ trước

Tai nạn giao thông là nguyên nhân thường gặp của gãy xương đòn. Tuy nhiên, gãy đồng thời cả hai xương đòn ở cùng một bệnh nhân lại là tổn thương hiếm gặp.

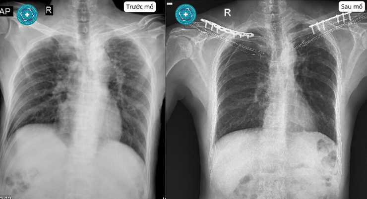
Mới đây, Bệnh viện đa khoa Hà Đông tiếp nhận nam bệnh nhân 59 tuổi (Vĩnh Tuy - Hà Nội ) được tiếp nhận sau tai nạn giao thông giữa xe máy và ô tô. Sau va chạm, người bệnh đau nhiều vùng hai vai, hạn chế vận động hai tay, vùng vai – đòn sưng nề và bầm tím rõ. Hình ảnh X-quang cho thấy bệnh nhân bị gãy xương đòn hai bên.

Điểm đặc biệt của ca bệnh nằm ở chỗ cơ chế chấn thương là tai nạn giao thông khá phổ biến, nhưng tổn thương lại không phổ biến. Trong thực tế lâm sàng, người bệnh sau tai nạn kiểu này thường gặp hơn ở hai nhóm: đa chấn thương phức tạp hoặc gãy một xương đòn đơn thuần. Gãy đồng thời cả hai xương đòn là tình huống hiếm, dễ gây đau nhiều và làm suy giảm rõ chức năng của cả vành đai vai.

BS.CKII Trần Quang Toản, Trưởng khoa Chấn thương Chỉnh hình, Bệnh viện đa khoa Hà Đông, cho biết: "Trong gần 30 năm hành nghề, đây mới là ca thứ hai tôi gặp bệnh nhân gãy đồng thời cả hai xương đòn. Điều đặc biệt là cơ chế tai nạn giao thông thì rất thường gặp, nhưng kiểu tổn thương này lại hiếm gặp trong thực hành lâm sàng."

Nam bệnh nhân gãy cùng lúc hai xương đòn sau tai nạn giao thông- Ảnh 1.

Bệnh nhân được chụp X - quang

Theo BS.CKII Trần Quang Toản, chính sự "quen thuộc" của cơ chế tai nạn đôi khi khiến người bệnh hoặc người xung quanh dễ chủ quan, trong khi mức độ tổn thương thực tế có thể nặng hơn nhiều so với biểu hiện ban đầu. Vì vậy, sau tai nạn, người có đau vùng vai – đòn, hạn chế vận động tay hoặc bầm tím lan rộng cần được thăm khám và chụp phim sớm để không bỏ sót chấn thương. Xương đòn có vai trò như một "thanh chống" giúp giữ khung vai ổn định và truyền lực giữa thân mình với chi trên. Khi cả hai bên cùng gãy, người bệnh không chỉ đau mà còn rất khó thực hiện những sinh hoạt cơ bản như ngồi dậy, đổi tư thế, tự chăm sóc cá nhân hay đưa tay lên cao. Nói cách khác, đây không phải là một ca gãy xương đòn "nhân đôi" đơn giản, mà là chấn thương có thể ảnh hưởng đáng kể đến vận động và sinh hoạt hằng ngày.

Với dạng tổn thương này, điều quan trọng không chỉ là xác định ổ gãy mà còn phải đánh giá đầy đủ để tránh bỏ sót chấn thương phối hợp ở lồng ngực, cột sống cổ, khớp vai, mạch máu và thần kinh. Sau khi thăm khám, làm cận lâm sàng cần thiết và cân nhắc chỉ định điều trị, bệnh nhân được phẫu thuật kết hợp xương đòn hai bên.

Điều đáng lưu ý là không ít người sau tai nạn vẫn cố chịu đau nếu còn tỉnh táo, không có vết thương hở hoặc vẫn tự đi lại được. Tuy nhiên, theo các bác sĩ Bệnh viện đa khoa Hà Đông sau khi gặp tai nạn người bệnh không nên chủ quan khi xuất hiện các dấu hiệu như: đau dữ dội vùng vai – xương đòn sau va chạm; sưng nề, bầm tím, biến dạng một hoặc hai bên vai; không nâng được tay, đau tăng khi cử động; tê yếu tay, khó thở, tức ngực hoặc đau lan vùng cổ – ngực; triệu chứng tăng dần dù ban đầu tưởng chỉ là chấn thương phần mềm thì nên đến các bệnh viện để thăm khám sớm, chụp phim đúng chỉ định và xử trí kịp thời đóng vai trò quyết định trong phát hiện tổn thương, lựa chọn phương án điều trị và phục hồi chức năng tối ưu cho người bệnh.

Lê Hoà

Tin đọc nhiều

LỊCH 115 ngày 18/4/2026 TRỰC, VẬN CHUYỂN CẤP CỨU

11 giờ trước

(Ngày 18 tháng 4 năm 2026)

LỊCH 115 ngày 17/4/2026 TRỰC, VẬN CHUYỂN CẤP CỨU

11 giờ trước

(Ngày 17 tháng 4 năm 2026)

Thận trọng với đa u xơ tử cung ở phụ nữ trung niên

17 giờ trước

Vừa qua, khoa Phụ sản - Bệnh viện Lão khoa Hà Nội tiếp nhận và can thiệp phẫu thuật thành công cho bệnh nhân nữ (60 tuổi) gặp biến chứng do khối đa u xơ tử cung kích thước lớn chèn ép ổ bụng.

Cập nhật kiến thức về phòng, chống dịch bệnh cho giáo viên Trường Mầm non Việt Triều Hữu nghị

17 giờ trước

Ngày 15/4, Trung tâm Kiểm soát bệnh tật thành phố (CDC) Hà Nội phối hợp với Trường Mầm non Việt Triều Hữu nghị tổ chức tập huấn phòng, chống dịch bệnh trong trường học cho cán bộ, giáo viên và nhân viên nhà trường.

Tăng cường vệ sinh môi trường, khử khuẩn chủ động phòng chống bệnh tay chân miệng và các dịch bệnh khác

17 giờ trước

Nhằm nâng cao ý thức cộng đồng trong công tác phòng chống dịch bệnh, ngày 15/4/2026, UBND phường Tây Tựu đã phát động chiến dịch "Vệ sinh môi trường, khử khuẩn chủ động phòng chống bệnh tay chân miệng và các dịch bệnh khác".

Tin cùng chuyên mục
Xem theo ngày
Xem
Thận trọng với đa u xơ tử cung ở phụ nữ trung niên
Thận trọng với đa u xơ tử cung ở phụ nữ trung niên
Vừa qua, khoa Phụ sản - Bệnh viện Lão khoa Hà Nội tiếp nhận và can thiệp phẫu thuật thành công cho bệnh nhân nữ (60 tuổi) gặp biến chứng do khối đa u xơ tử cung kích thước lớn chèn ép ổ bụng.
17 giờ trước
Chuột rút: Dấu hiệu cảnh báo rối loạn điện giải không thể xem nhẹ trong thời tiết nắng nóng
Chuột rút: Dấu hiệu cảnh báo rối loạn điện giải không thể xem nhẹ trong thời tiết nắng nóng
Giữa những ngày nắng nóng tại Hà Nội, không ít người bất ngờ bị chuột rút co cứng cơ ngay cả khi đang nghỉ ngơi. Nhiều người cho rằng đó chỉ là biểu hiện bình thường do mệt mỏi, nhưng thực tế đây có thể là tín hiệu sớm của rối loạn điện giải và quá tải điều hòa thân nhiệt trong môi trường nhiệt độ cao. Phóng viên đã có cuộc trao đổi với bác sĩ Vũ Trọng Nam, Trưởng khoa Y học cổ truyền - Phục hồi chức năng, Bệnh viện đa khoa Hoè Nhai để làm rõ nguyên nhân, cách nhận biết và phòng tránh tình trạng này.
16:29 14/04/2026
Thoái hóa võng mạc do cận thị nặng, tiềm ẩn nguy cơ gây mất thị lực
Thoái hóa võng mạc do cận thị nặng, tiềm ẩn nguy cơ gây mất thị lực
Theo ghi nhận từ Khoa Dịch kính - Võng mạc, Bệnh viện Mắt Hà Nội, ngày càng nhiều trường hợp biến chứng võng mạc được phát hiện ở người cận thị nặng, đặc biệt trong nhóm người trẻ. Đây là bệnh lý tiến triển âm thầm, ít biểu hiện rõ ràng ở giai đoạn đầu nhưng có thể dẫn đến mất thị lực nếu không được theo dõi và điều trị kịp thời.
16:29 14/04/2026
Phối hợp liên tuyến cứu sống người bệnh phản vệ do côn trùng đốt
Phối hợp liên tuyến cứu sống người bệnh phản vệ do côn trùng đốt
Vừa qua, Bệnh viện đa khoa Sóc Sơn đã tiếp nhận và điều trị kịp thời một trường hợp người bệnh trong tình trạng nguy kịch do phản vệ nặng sau khi bị kiến ba khoang đốt.
16:29 14/04/2026
Viêm Amidan cấp mủ biến chứng nặng nếu chậm trễ thăm khám
Viêm Amidan cấp mủ biến chứng nặng nếu chậm trễ thăm khám
Viêm Amidan cấp mủ không chỉ là đau họng thông thường. Đây là tình trạng vi khuẩn tấn công mạnh mẽ, tạo ra các ổ mủ ngay trong họng, gây phản ứng viêm toàn thân. Đối tượng dễ mắc nhất là trẻ từ 6 tháng đến 6 tuổi. Do đó, việc nhận diện sớm dấu hiệu và xử trí kịp thời chính là chìa khóa giúp cha mẹ bảo vệ con khỏi những biến chứng khó lường.
09:17 14/04/2026
Có nên trì hoãn nhổ răng ở người mắc bệnh tiểu đường?
Có nên trì hoãn nhổ răng ở người mắc bệnh tiểu đường?
Nhiều người mắc tiểu đường khi được chỉ định nhổ răng thường tỏ ra lo lắng, thậm chí trì hoãn điều trị vì sợ vết thương lâu lành hoặc dễ nhiễm trùng. Tuy nhiên, theo các chuyên gia, đây là một quan niệm chưa đầy đủ và có thể khiến tình trạng sức khỏe răng miệng trở nên nghiêm trọng hơn.
10:45 13/04/2026
Tin khác
LỊCH 115 ngày 18/4/2026 TRỰC, VẬN CHUYỂN CẤP CỨU
LỊCH 115 ngày 18/4/2026 TRỰC, VẬN CHUYỂN CẤP CỨU
(Ngày 18 tháng 4 năm 2026)
11 giờ trước
LỊCH 115 ngày 17/4/2026 TRỰC, VẬN CHUYỂN CẤP CỨU
LỊCH 115 ngày 17/4/2026 TRỰC, VẬN CHUYỂN CẤP CỨU
(Ngày 17 tháng 4 năm 2026)
11 giờ trước
Cập nhật kiến thức về phòng, chống dịch bệnh cho giáo viên Trường Mầm non Việt Triều Hữu nghị
Cập nhật kiến thức về phòng, chống dịch bệnh cho giáo viên Trường Mầm non Việt Triều Hữu nghị
Ngày 15/4, Trung tâm Kiểm soát bệnh tật thành phố (CDC) Hà Nội phối hợp với Trường Mầm non Việt Triều Hữu nghị tổ chức tập huấn phòng, chống dịch bệnh trong trường học cho cán bộ, giáo viên và nhân viên nhà trường.
17 giờ trước
Tăng cường vệ sinh môi trường, khử khuẩn chủ động phòng chống bệnh tay chân miệng và các dịch bệnh khác
Tăng cường vệ sinh môi trường, khử khuẩn chủ động phòng chống bệnh tay chân miệng và các dịch bệnh khác
Nhằm nâng cao ý thức cộng đồng trong công tác phòng chống dịch bệnh, ngày 15/4/2026, UBND phường Tây Tựu đã phát động chiến dịch "Vệ sinh môi trường, khử khuẩn chủ động phòng chống bệnh tay chân miệng và các dịch bệnh khác".
17 giờ trước
Thông tin y tế trên báo chí ngày 16/4/2026
Thông tin y tế trên báo chí ngày 16/4/2026
* Công khai, minh bạch, quyết liệt tháo gỡ “điểm nghẽn” về an toàn thực phẩm
17 giờ trước
 Lịch đánh giá thực hành tốt cơ sở bán lẻ thuốc từ 16.4 đến 29.4.2026 (54 cơ sở)
Lịch đánh giá thực hành tốt cơ sở bán lẻ thuốc từ 16.4 đến 29.4.2026 (54 cơ sở)
3336/SYT-NVD
18 giờ trước
Triển khai đồng bộ các giải pháp nâng cao chất lượng y tế phục vụ nhân dân
Triển khai đồng bộ các giải pháp nâng cao chất lượng y tế phục vụ nhân dân
Chiều ngày 15/4, tại Bệnh viện đa khoa Đức Giang, Sở Y tế Hà Nội đã tổ chức hội nghị giao ban công tác y tế quý I, triển khai nhiệm vụ quý II năm 2026. Những kết quả đạt được của ngành y tế Hà Nội cho thấy nỗ lực đồng bộ từ tuyến thành phố đến cơ sở trong việc bảo vệ, chăm sóc và nâng cao sức khỏe nhân dân.
22:33 15/04/2026
Thông tin y tế trên báo chí ngày 15/4/2026
Thông tin y tế trên báo chí ngày 15/4/2026
* “Làm sạch” dữ liệu - từ việc nhỏ đến nền tảng lớn của y tế số Thủ đô
22:33 15/04/2026
Dược lâm sàng trong bệnh nội tiết chuyển hóa: Tối ưu chi phí, nâng cao hiệu quả điều trị
Dược lâm sàng trong bệnh nội tiết chuyển hóa: Tối ưu chi phí, nâng cao hiệu quả điều trị
Sáng 15-4, Bệnh viện Đa khoa Hà Đông tổ chức Hội thảo Dược lâm sàng lần thứ IV với chủ đề "Dược lâm sàng trong các bệnh nội tiết chuyển hóa - Tối ưu chi phí và hiệu quả điều trị". Tham dự hội thảo có TS Nguyễn Đình Hưng, Phó Giám đốc Sở Y tế Hà Nội, ThS Nguyễn Thị Tám, Phó Giám đốc BHXH TP Hà Nội, GS.TS Nguyễn Hải Nam, Hiệu trưởng Trường Đại học Dược Hà Nội và hơn 200 chuyên gia, bác sĩ, dược sĩ đầu ngành.
18:25 15/04/2026
Phối hợp truyền thông về công tác dân số
Phối hợp truyền thông về công tác dân số
Sở Y tế Hà Nội vừa ban hành kế hoạch truyền thông dân số năm 2026, trong đó đề nghị các ngành, đoàn thể, thành viên Ban chỉ đạo công tác Dân số và Phát triển thành phố, Mặt trận Tổ quốc Việt Nam thành phố cũng như cơ quan Báo và Phát thanh, truyền hình Hà Nội, UBND xã, phường phối hợp để thực hiện hiệu quả công tác truyên thông về dân số trên địa bàn thành phố.
16:34 15/04/2026