Bệnh viện đa khoa Sơn Tây khuyến cáo cần sớm phát hiện cong vẹo cột sống ở trẻ nhỏ

18:08 25/03/2026

Cong vẹo cột sống ở trẻ em là tình trạng cột sống cong về một phía, có thể cong về bên phải hoặc bên trái. Mức độ cong vẹo cột sống có thể từ vừa đến nặng. Cong vẹo cột sống chủ yếu ảnh hưởng đến phần ngực hoặc phần thắt lưng.

Theo thống kê của các chuyên gia về sức khỏe học đường, số trường hợp bị cong vẹo cột sống ở độ tuổi học đường đang có xu hướng tăng lên. Cong vẹo cột sống ngày càng được xem là một bệnh phổ biến trong độ tuổi học đường. Cong vẹo cột sống có thể gặp phải do bàn ghế học sinh ngồi không phù hợp, thói quen ngồi không đúng tư thế trong quá học tập, sử dụng thiết bị điện tử kéo dài… lâu dần sẽ ảnh hưởng đến cấu trúc xương cột sống của trẻ, dần dần sẽ bị vẹo, lệch sang một bên. Bệnh cong vẹo cột sống không phải bệnh nặng, nguy hiểm đến tính mạng nhưng có thể làm giảm hoặc mất khả năng lao động, học tập và sinh hoạt của trẻ.

Trong quá trình khám và điều trị cho bệnh nhi, các bác sĩ Bệnh viện đa khoa Sơn Tây đã phát hiện một trường hợp cong vẹo cột sống ở trẻ nhỏ mà trước đó gia đình hoàn toàn không hay biết.

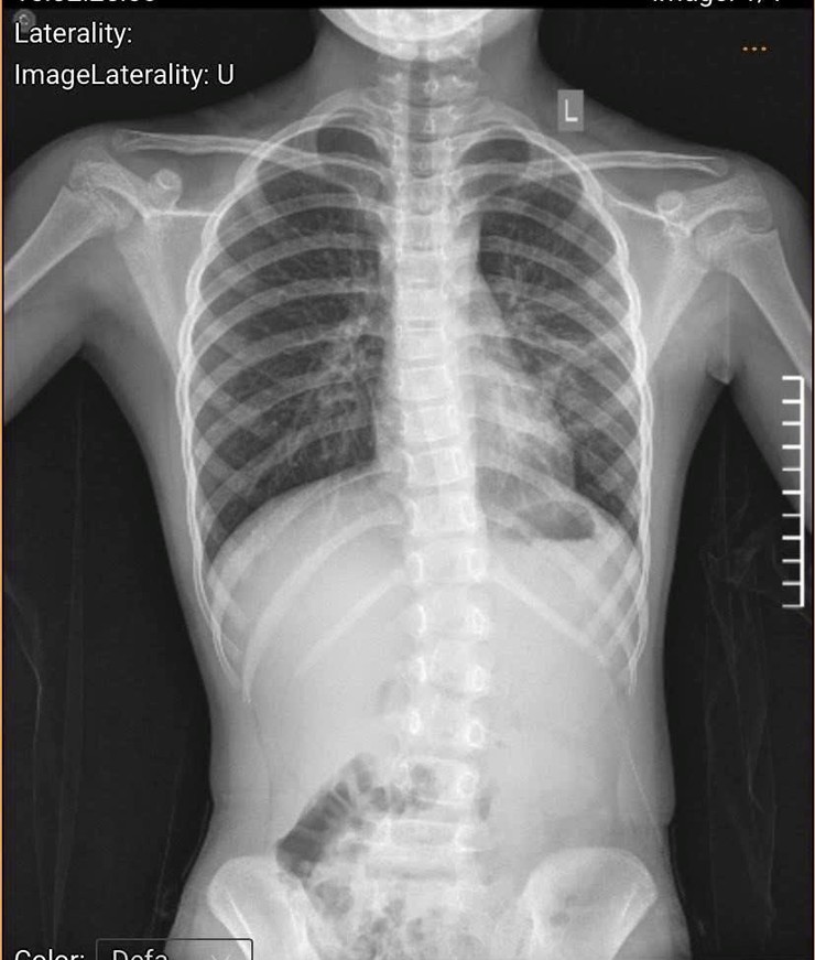
Bệnh nhi là cháu Trịnh Minh H. (9 tuổi, trú tại phường Sơn Tây, Hà Nội), đến khám tại bệnh viện với biểu hiện ho kéo dài nhiều ngày không khỏi. Qua thăm khám, các bác sĩ chẩn đoán trẻ bị viêm phế quản. Tuy nhiên, trong quá trình đánh giá toàn diện, bác sĩ nhận thấy trẻ có dấu hiệu bất thường về tư thế và hình thể như đau mỏi lưng kéo dài, dáng đi lệch.

Nghi ngờ bệnh lý cột sống, bệnh nhi được chỉ định chụp X-quang, dựng hình cột sống và đo chỉ số Cobb. Kết quả xác định trẻ bị cong vẹo cột sống còn khả năng điều trị bằng phương pháp phục hồi chức năng, chưa cần can thiệp ngoại khoa.

Bệnh viện đa khoa Sơn Tây khuyến cáo cần sớm phát hiện cong vẹo cột sống ở trẻ nhỏ- Ảnh 1.

Ngay sau đó, khoa Nhi đã hội chẩn liên khoa với khoa Phục hồi chức năng để xây dựng phác đồ điều trị phù hợp. Bệnh nhi được hướng dẫn tập vận động cột sống thắt lưng có trợ giúp, thời gian 20 phút mỗi ngày. Sau khi xuất viện, trẻ tiếp tục duy trì các bài tập trị liệu tại nhà theo hướng dẫn của bác sĩ nhằm cải thiện tình trạng cong vẹo.

Theo các bác sĩ khoa Nhi, Bệnh viện đa khoa Sơn Tây, cong vẹo cột sống đang có xu hướng gia tăng và ngày càng trẻ hóa, đặc biệt ở lứa tuổi học đường. Nguyên nhân có thể liên quan đến thói quen ngồi học sai tư thế, sử dụng thiết bị điện tử kéo dài, mang cặp sách nặng hoặc ít vận động thể chất. Nếu không được phát hiện và can thiệp kịp thời, tình trạng cong vẹo có thể tiến triển nặng, ảnh hưởng đến chức năng hô hấp, tim mạch và thẩm mỹ cơ thể, gây tác động lâu dài đến sự phát triển của trẻ.

Bệnh viện đa khoa Sơn Tây khuyến cáo, phụ huynh cần chú ý theo dõi tư thế và hình thể của trẻ để phát hiện sớm các dấu hiệu bất thường như: hai vai không cân xứng; khi cúi người về phía trước xuất hiện gồ lưng một bên; hai bên hông lệch nhau; hai bên xương sườn, lồng ngực không đều.

Để phòng ngừa cong vẹo cột sống, trẻ cần được duy trì tư thế đúng trong học tập và sinh hoạt, tránh ngồi sai tư thế hoặc mang vác vật nặng không đúng cách. Bên cạnh đó, cần đảm bảo thời gian nghỉ ngơi hợp lý, tăng cường vận động thể chất như bơi lội, yoga, đạp xe; xây dựng chế độ dinh dưỡng cân đối, kiểm soát cân nặng và bổ sung canxi phù hợp để phát triển hệ cơ xương khớp khỏe mạnh.

Các bác sĩ cũng nhấn mạnh, việc khám sức khỏe định kỳ cho trẻ đóng vai trò rất quan trọng trong việc phát hiện sớm các bất thường về cột sống cũng như nhiều bệnh lý khác. Khi phát hiện các dấu hiệu nghi ngờ, phụ huynh nên đưa trẻ đi khám sớm tại cơ sở y tế để được tư vấn và điều trị kịp thời, hạn chế nguy cơ biến dạng cột sống và ảnh hưởng lâu dài đến sức khỏe.

Khánh Chi

Tin đọc nhiều

LỊCH 115 ngày 28/3/2026 TRỰC, VẬN CHUYỂN CẤP CỨU

12 giờ trước

(Ngày 28 tháng 3 năm 2026)

LỊCH 115 ngày 27/3/2026 TRỰC, VẬN CHUYỂN CẤP CỨU

12 giờ trước

(Ngày 27 tháng 3 năm 2026)

Cảnh báo thuốc giả, thuốc lưu hành trái phép trên thị trường

15 giờ trước

Sở Y tế Hà Nội đưa ra cảnh báo về thuốc tiêm YEZTUGO (lenacapavir) injection 463.5,g/1.5mL (309mg/mL) lưu hành trái phép trên thị trường.

Thu hồi thuốc Aclon vi phạm mức độ 2

15 giờ trước

Để đảm bảo sức khỏe cũng như quyền lợi hợp pháp của người tiêu dùng trên địa bàn Hà Nội, Sở Y tế yêu cầu các cơ sở y tế, các cơ sở bán buôn, bán lẻ thuốc trên địa bàn rà soát thu hồi lô thuốc Aclon không đạt chất lượng.

Bệnh viện Nhi Hà Nội thành lập Trung tâm điều trị khe hở môi – vòm miệng

15 giờ trước

Sáng ngày 26/3, Bệnh viện Nhi Hà Nội đã tổ chức Lễ Khai trương Trung tâm điều trị khe hở môi – vòm miệng. Tham dự Lễ khai trương có ThS.BS Đinh Anh Tuấn - Cục trưởng Cục Bà mẹ và Trẻ em, Bộ Y tế, TS.Nguyễn Đình Hưng – Phó Giám đốc Sở Y tế Hà Nội cùng các chuyên gia lĩnh vực hàm mặt trong và ngoài nước.

Tin cùng chuyên mục
Xem theo ngày
Xem
Chủ quan bỏ tái khám suốt 1 năm, người phụ nữ mang khối u xơ tử cung
Chủ quan bỏ tái khám suốt 1 năm, người phụ nữ mang khối u xơ tử cung "khổng lồ"
U xơ tử cung là một bệnh lý phụ khoa lành tính thường gặp ở phụ nữ trong độ tuổi sinh sản. Tuy nhiên nếu không được tầm soát và điều trị kịp thời, biến chứng u xơ tử cung có thể gây ra ảnh hưởng nghiêm trọng tới chất lượng cuộc sống của người phụ nữ.
18 giờ trước
Nâng tầm y tế cơ sở từ kết hợp y học cổ truyền và y học hiện đại
Nâng tầm y tế cơ sở từ kết hợp y học cổ truyền và y học hiện đại
Chiều 23/3, Bệnh viện Đa khoa Y học cổ truyền Hà Nội và Trạm Y tế phường Từ Liêm đã tổ chức lễ ký kết hợp tác hỗ trợ chuyên môn trong công tác khám bệnh, chữa bệnh cho người dân trên địa bàn.
18:05 24/03/2026
Nội soi can thiệp cắt polyp ống tiêu hóa phòng ngừa tiến triển thành ung thư
Nội soi can thiệp cắt polyp ống tiêu hóa phòng ngừa tiến triển thành ung thư
Các bệnh lý đường tiêu hóa ngày càng gia tăng, đặc biệt ở nhóm người cao tuổi, việc ứng dụng các phương pháp chẩn đoán và điều trị hiện đại ngay tại tuyến y tế cơ sở đang mang lại nhiều lợi ích thiết thực cho người dân. Điển hình, ê kíp bác sĩ tại Bệnh viện đa khoa Phúc Thọ vừa thực hiện thành công ca nội soi can thiệp cắt polyp ống tiêu hóa cho bệnh nhân Trần Văn M. (71 tuổi), trú tại Lục Yên, Lào Cai.
09:27 24/03/2026
Bệnh viện Đa khoa Đức Giang khuyến cáo phát hiện sớm Tay chân miệng ở trẻ để tránh biến chứng nặng
Bệnh viện Đa khoa Đức Giang khuyến cáo phát hiện sớm Tay chân miệng ở trẻ để tránh biến chứng nặng
Khoa Hồi sức tích cực Nhi - Bệnh viện Đa khoa Đức Giang cho biết, khoa đã tiếp nhận và điều trị nhiều trường hợp bệnh nhi tay chân miệng diễn biến nặng, trong đó không ít ca khởi phát với biểu hiện không điển hình, dễ bị bỏ sót nếu gia đình chủ quan.
09:26 24/03/2026
Từ ca tắc ruột non do polyp: Bệnh viện Đa khoa Xanh Pôn khuyến cáo phát hiện sớm bệnh di truyền để phòng ngừa ung thư
Từ ca tắc ruột non do polyp: Bệnh viện Đa khoa Xanh Pôn khuyến cáo phát hiện sớm bệnh di truyền để phòng ngừa ung thư
Từ một ca cấp cứu điển hình tại Bệnh viện Đa khoa Xanh Pôn, các bác sĩ đã đưa ra cảnh báo quan trọng về việc phát hiện sớm các bệnh lý di truyền đường tiêu hóa nhằm hạn chế nguy cơ ung thư.
14:51 23/03/2026
Ký kết hợp tác toàn diện giữa Bệnh viện đa khoa Chương Mỹ và Trạm Y tế xã Quảng Bị
Ký kết hợp tác toàn diện giữa Bệnh viện đa khoa Chương Mỹ và Trạm Y tế xã Quảng Bị
Sáng 20/3, Bệnh viện đa khoa Chương Mỹ và Trạm Y tế xã Quảng Bị đã tổ chức hội nghị ký kết hợp tác toàn diện trong công tác khám chữa bệnh và hỗ trợ chuyên môn. Đây là dấu mốc quan trọng nhằm nâng cao năng lực y tế tuyến cơ sở, góp phần giảm tải cho tuyến trên và giúp người dân tiếp cận dịch vụ y tế chất lượng cao ngay tại địa phương.
14:35 23/03/2026
Tin khác
LỊCH 115 ngày 28/3/2026 TRỰC, VẬN CHUYỂN CẤP CỨU
LỊCH 115 ngày 28/3/2026 TRỰC, VẬN CHUYỂN CẤP CỨU
(Ngày 28 tháng 3 năm 2026)
12 giờ trước
LỊCH 115 ngày 27/3/2026 TRỰC, VẬN CHUYỂN CẤP CỨU
LỊCH 115 ngày 27/3/2026 TRỰC, VẬN CHUYỂN CẤP CỨU
(Ngày 27 tháng 3 năm 2026)
12 giờ trước
Cảnh báo thuốc giả, thuốc lưu hành trái phép trên thị trường
Cảnh báo thuốc giả, thuốc lưu hành trái phép trên thị trường
Sở Y tế Hà Nội đưa ra cảnh báo về thuốc tiêm YEZTUGO (lenacapavir) injection 463.5,g/1.5mL (309mg/mL) lưu hành trái phép trên thị trường.
15 giờ trước
Thu hồi thuốc Aclon vi phạm mức độ 2
Thu hồi thuốc Aclon vi phạm mức độ 2
Để đảm bảo sức khỏe cũng như quyền lợi hợp pháp của người tiêu dùng trên địa bàn Hà Nội, Sở Y tế yêu cầu các cơ sở y tế, các cơ sở bán buôn, bán lẻ thuốc trên địa bàn rà soát thu hồi lô thuốc Aclon không đạt chất lượng.
15 giờ trước
Bệnh viện Nhi Hà Nội thành lập Trung tâm điều trị khe hở môi – vòm miệng
Bệnh viện Nhi Hà Nội thành lập Trung tâm điều trị khe hở môi – vòm miệng
Sáng ngày 26/3, Bệnh viện Nhi Hà Nội đã tổ chức Lễ Khai trương Trung tâm điều trị khe hở môi – vòm miệng. Tham dự Lễ khai trương có ThS.BS Đinh Anh Tuấn - Cục trưởng Cục Bà mẹ và Trẻ em, Bộ Y tế, TS.Nguyễn Đình Hưng – Phó Giám đốc Sở Y tế Hà Nội cùng các chuyên gia lĩnh vực hàm mặt trong và ngoài nước.
15 giờ trước
Giảm thiểu chất thải nhựa trong các cơ sở y tế
Giảm thiểu chất thải nhựa trong các cơ sở y tế
Sở Y tế vừa ban hành kế hoạch thực hiện cơ sở y tế sáng – xanh – sạch – đẹp và giảm thiểu chất thải nhựa của ngành y tế năm 2026 với yêu cầu tất cả các cơ sở y tế thực hiện chính sách, pháp luật về bảo vệ môi trường, phân loại chất thải nhựa tại nguồn và giảm thiểu chất thải nhựa theo hướng dẫn của Bộ Y tế.
18 giờ trước
Đình chỉ lưu hành, thu hồi trên toàn quốc lô sản phẩm Gel VNP TriSeo
Đình chỉ lưu hành, thu hồi trên toàn quốc lô sản phẩm Gel VNP TriSeo
Sở Y tế Hà Nội thông báo đình chỉ lưu hành, thu hồi trên toàn quốc lô sản phẩm Gel VNP TriSeo - Hộp 1 tuýp 10g do vi phạm chất lượng.
18 giờ trước
Cần phát hiện và can thiệp sớm sụp mi để tránh ảnh hưởng đến thị lực
Cần phát hiện và can thiệp sớm sụp mi để tránh ảnh hưởng đến thị lực
Sụp mi không chỉ là vấn đề thẩm mỹ đơn thuần mà còn tiềm ẩn nhiều hệ lụy nghiêm trọng đối với chức năng thị giác, đặc biệt ở trẻ nhỏ. Sụp mi có nguy cơ nhược thị nếu không được điều trị kịp thời, việc nâng cao nhận thức, phát hiện sớm và can thiệp đúng cách là nhiệm vụ quan trọng trong công tác chăm sóc sức khỏe mắt cộng đồng.
18 giờ trước
Ấm áp nghĩa tình từ chuỗi hoạt động tri ân người bệnh nhân Ngày Công tác Xã hội Việt Nam
Ấm áp nghĩa tình từ chuỗi hoạt động tri ân người bệnh nhân Ngày Công tác Xã hội Việt Nam
Hưởng ứng kỷ niệm Ngày Công tác Xã hội Việt Nam (25/3), Bệnh viện đa khoa Vân Đình đã tổ chức nhiều hoạt động thiết thực, tri ân người bệnh và chia sẻ với những bệnh nhân có hoàn cảnh khó khăn.
18 giờ trước
Công tác xã hội - nơi những trái tim chữa lành bằng yêu thương
Công tác xã hội - nơi những trái tim chữa lành bằng yêu thương
Trong guồng quay của một bệnh viện ngày càng hiện đại, công tác xã hội đóng vai trò cầu nối giữa bệnh nhân, bác sĩ và cộng đồng, giúp bệnh nhân tiếp cận dịch vụ y tế một cách hiệu quả, giảm bớt áp lực tâm lý và có thêm cơ hội được điều trị tốt nhất. Những người làm công tác xã hội chính là những "người bạn đồng hành", giúp bệnh nhân có thêm sức mạnh vượt qua bệnh tật, đem lại hy vọng trong những lúc khó khăn nhất.
18:08 25/03/2026