Chủ quan, e ngại không muốn đi khám người phụ nữ mang khối u sarcoma tử cung nặng gần 9kg

2 giờ trước

Các bác sĩ khoa Ngoại Tổng hợp, Bệnh viện Ung Bướu Hà Nội vừa phẫu thuật thành công một trường hợp sarcoma cơ trơn tử cung giai đoạn III với khối u kích thước khổng lồ, hiếm gặp, chiếm gần toàn bộ ổ bụng, gây chèn ép nhiều cơ quan nội tạng và ảnh hưởng nghiêm trọng đến hô hấp cũng như sinh hoạt của người bệnh.

Bệnh nhân P.H.L (nữ, 45 tuổi, trú tại Hà Nội), trước đó hoàn toàn khỏe mạnh, chưa phát hiện bệnh lý bất thường và chưa lập gia đình. Khoảng 6 tháng trước khi nhập viện, chị L. bắt đầu xuất hiện các cơn đau âm ỉ vùng bụng, chủ yếu vào ban đêm, kèm theo tình trạng gầy mòn, sút cân. Tuy nhiên, do tâm lý chủ quan và e ngại, người bệnh không muốn đến bệnh viện thăm khám.

Trong vài tháng gần đây, tình trạng bệnh tiến triển rõ rệt khi bụng ngày càng to lên, các cơn đau xuất hiện nhiều hơn, ăn uống kém và đặc biệt là khó thở tăng dần. Bệnh nhân không thể nằm ngửa mà chỉ có thể nằm nghiêng do cảm giác bị chèn ép. Khi các triệu chứng trở nên nghiêm trọng, chị L. mới đến khám và được phát hiện có khối u lớn trong ổ bụng.

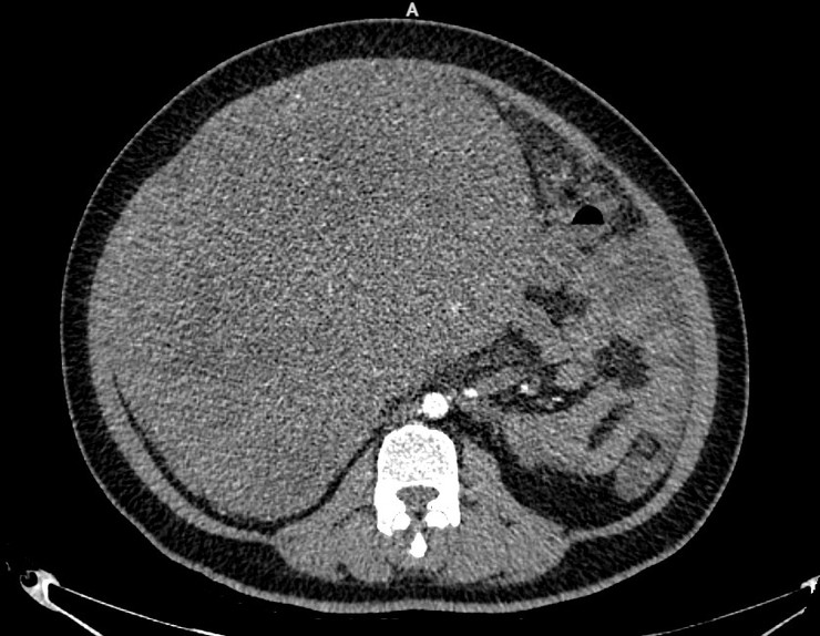
Kết quả chụp cắt lớp vi tính cho thấy khối u lan tỏa vùng hạ sườn phải, quanh rốn và hạ vị với kích thước lên tới 22,7 x 29 cm, bờ không đều. Khối u tiếp xúc và chèn ép nhiều cơ quan như gan, túi mật, thận phải, tụy, đồng thời dính với đáy tử cung. Ngoài ra, bệnh nhân còn có tình trạng dịch ổ bụng nhiều và tràn dịch màng phổi hai bên.

Chủ quan, e ngại không muốn đi khám người phụ nữ mang khối u sarcoma tử cung nặng gần 9kg- Ảnh 1.

Hình ảnh phim chụp cho thấy khối u chiếm toàn bộ ổ bụng. (ảnh BV)

Trước tình trạng khối u phát triển lớn gây chèn ép nghiêm trọng, các bác sĩ khoa Ngoại Tổng hợp đã tiến hành hội chẩn và quyết định mổ bán cấp cứu cho bệnh nhân. Trong quá trình phẫu thuật, khối u được xác định xuất phát từ đáy tử cung, kích thước lớn nhất gần 30cm, chiếm gần toàn bộ ổ bụng và dính với đại tràng, mạc treo ruột non cùng nhiều cấu trúc xung quanh.

Ê-kíp phẫu thuật đã thực hiện cắt bỏ trọn khối u kèm toàn bộ tử cung và hai phần phụ để đảm bảo loại bỏ tối đa tổn thương. Ca mổ diễn ra trong khoảng 2 giờ, bệnh nhân được truyền 4 đơn vị máu và được phối hợp hồi sức tích cực. Khối u sau khi được lấy ra nặng gần 9kg, kích thước khoảng 30 x 17 cm.

Đây là ca mổ có mức độ phức tạp cao, thách thức lớn nhất đối với ê-kíp phẫu thuật là quá trình phẫu tích và kiểm soát khối u. Với khối u có kích thước lớn, liên quan với nhiều tạng quan trọng, phẫu thuật viên phải thao tác hết sức thận trọng nhằm đảm bảo không làm vỡ u trong quá trình bóc tách, hạn chế tối đa mất máu, đồng thời bảo tồn tối đa các cơ quan nội tạng lân cận. Việc kiểm soát tốt các cuống mạch nuôi u và đánh giá chính xác mức độ xâm lấn đóng vai trò quyết định đến sự an toàn và thành công của ca mổ.

Sau phẫu thuật, tình trạng bệnh nhân tiến triển tốt, vết mổ khô, sức khỏe ổn định, có thể ăn uống và đi lại bình thường, được xuất viện sau 7 ngày. Kết quả giải phẫu bệnh sau mổ xác định chẩn đoán sarcoma cơ trơn tử cung giai đoạn III. Bệnh nhân được tư vấn tiếp tục điều trị hóa chất bổ trợ nhằm giảm nguy cơ tái phát.

Chia sẻ sau ca phẫu thuật, chị L. cho biết: "Tôi cảm thấy cơ thể nhẹ nhõm rõ rệt, các triệu chứng đau bụng và khó thở đã hoàn toàn biến mất, có thể nằm ngửa và sinh hoạt bình thường trở lại".

Theo BS.CKII Lê Văn Thành - Phó Giám đốc bệnh viện Ung Bướu Hà Nội, Trưởng khoa Ngoại Tổng hợp, đây là trường hợp điển hình cho việc chủ quan với các triệu chứng ban đầu khiến khối u phát triển âm thầm và tiến triển đến giai đoạn muộn, tiềm ẩn nhiều biến chứng nguy hiểm, thậm chí đe dọa tính mạng. Đáng tiếc, để đảm bảo loại bỏ triệt để khối u và an toàn cho người bệnh, các bác sĩ buộc phải thực hiện cắt toàn bộ tử cung, ảnh hưởng đến khả năng sinh sản về sau.

BS.CKII Lê Văn Thành Thành khuyến cáo người dân không nên bỏ qua các dấu hiệu bất thường như đau bụng kéo dài, bụng to nhanh, ăn uống kém hoặc khó thở. Việc thăm khám sớm giúp phát hiện bệnh ở giai đoạn còn can thiệp được, từ đó nâng cao hiệu quả điều trị, giảm mức độ xâm lấn phẫu thuật và tăng cơ hội bảo tồn cơ quan.

Lê Hoà

Tin đọc nhiều

LỊCH 115 ngày 23/4/2026 TRỰC, VẬN CHUYỂN CẤP CỨU

1 giờ trước

(Ngày 23 tháng 4 năm 2026)

LỊCH 115 ngày 22/4/2026 TRỰC, VẬN CHUYỂN CẤP CỨU

1 giờ trước

(Ngày 22 tháng 4 năm 2026)

Thu hồi thuốc Mexiprim 4 không đạt yêu cầu chất lượng

2 giờ trước

Để đảm bảo sức khỏe cũng như quyền lợi hợp pháp của người tiêu dùng trên địa bàn thành phố Hà Nội, Sở Y tế Hà Nội thông báo thu hồi Mexiprim 4 (thuốc cốm Montelukast 4mg) do Công ty cổ phần Dược phẩm Trung ương 2 sản xuất tại các cơ sở kinh doanh dược, cơ sở khám bệnh, chữa bệnh trên địa bàn thành phố và các cơ sở kinh doanh dược, cơ sở khám bệnh, chữa bệnh không nằm trên địa bàn Hà Nội đã mua lô thuốc trên do Công ty cổ phần Đầu tư và Phát triển Thương mại Ngôi Sao Việt cung cấp.

Thông tin y tế trên báo chí ngày 21/4/2026

2 giờ trước

* Tăng cường liên kết tuyến: Nâng cao chất lượng y tế cơ sở tại phường Kiến Hưng

Từ lớp học đến cộng đồng - Hành động ngay hôm nay để đẩy lùi bệnh tay chân miệng

2 giờ trước

Thời tiết tại Hà Nội đang bước vào giai đoạn giao mùa, đây cũng là thời điểm nhiều dịch bệnh truyền nhiễm có điều kiện thuận lợi để phát triển gây dịch. Trong đó, bệnh tay chân miệng ở trẻ nhỏ đang có xu hướng gia tăng, tiềm ẩn nhiều nguy cơ nếu không được kiểm soát kịp thời.

Tin cùng chuyên mục
Xem theo ngày
Xem
Chủ động bảo vệ sức khỏe khi thời tiết thay đổi thất thường
Chủ động bảo vệ sức khỏe khi thời tiết thay đổi thất thường
Thời tiết nắng nóng cùng độ ẩm cao khiến nguy cơ mắc các bệnh lý gia tăng rõ rệt. Để giúp người dân hiểu rõ hơn và chủ động phòng bệnh, phóng viên đã có cuộc trao đổi với BSCKI Dương Hồng Tuấn - Trưởng khoa Khám bệnh, Bệnh viện đa khoa Phúc Thọ.
15:48 20/04/2026
Cần hiểu đúng hơn về bệnh trĩ: Cảnh báo từ chuyên gia sau nhiều ca nhập viện nặng
Cần hiểu đúng hơn về bệnh trĩ: Cảnh báo từ chuyên gia sau nhiều ca nhập viện nặng
Không ít người khi gặp tình trạng đau rát, chảy máu hay xuất hiện khối sa vùng hậu môn thường mặc định mình mắc bệnh trĩ và tự ý điều trị tại nhà. Tuy nhiên, theo TS.BS Nguyễn Ngọc Đan - Trung tâm Kỹ thuật cao và Tiêu hóa, Bệnh viện Đa khoa Xanh Pôn, đây là một quan niệm tiềm ẩn nhiều rủi ro, có thể khiến người bệnh bỏ lỡ "thời điểm vàng" trong chẩn đoán và điều trị.
11:09 20/04/2026
Phường Thượng Cát: Hơn 500 người dân được khám, chăm sóc sức khỏe bằng y học cổ truyền
Phường Thượng Cát: Hơn 500 người dân được khám, chăm sóc sức khỏe bằng y học cổ truyền
Vừa qua, Bệnh viện đa khoa Y học cổ truyền Hà Nội đã phối hợp với Trạm Y tế phường Thượng Cát triển khai hoạt động khám chữa bệnh bằng y học cổ truyền (YHCT) cho người dân trên địa bàn.
21:54 17/04/2026
Nhồi máu cơ tim nguy hiểm như thế nào đối với người già
Nhồi máu cơ tim nguy hiểm như thế nào đối với người già
Nhồi máu cơ tim cấp là một bệnh lý cấp tính nguy hiểm do tắc nghẽn đột ngột mạch máu nuôi dưỡng cơ tim. Việc chẩn đoán sớm và điều trị kịp thời sẽ quyết định sự sống còn của người bệnh.
21:52 17/04/2026
Bệnh viện đa khoa Đức Giang: Thay động mạch chủ bụng nhân tạo thành công cho người bệnh cao tuổi
Bệnh viện đa khoa Đức Giang: Thay động mạch chủ bụng nhân tạo thành công cho người bệnh cao tuổi
Một ca đại phẫu đầy thách thức trên người bệnh cao tuổi (78 tuổi) bị phình động mạch chủ bụng kích thước lớn vừa được thực hiện thành công tại Bệnh viện đa khoa Đức Giang đã thể hiện rõ nét cho năng lực làm chủ kỹ thuật chuyên sâu của ngành Y tế Thủ đô. Không chỉ vô hiệu hóa "quả bom nổ chậm" có thể vỡ bất cứ lúc nào, các bác sĩ còn đảm bảo an toàn tối đa cho người bệnh cao tuổi, nhóm có nguy cơ biến chứng và tử vong rất cao khi can thiệp ngoại khoa.
20:53 17/04/2026
Bác sĩ cảnh báo những biến chứng nguy hiểm của bệnh tay chân miệng ở trẻ
Bác sĩ cảnh báo những biến chứng nguy hiểm của bệnh tay chân miệng ở trẻ
Theo thông tin từ Bệnh viện Nhi Hà Nội, trong thời gian gần đây số lượng trẻ mắc tay chân miệng đến khám và điều trị có xu hướng gia tăng rõ rệt. Cụ thể, trong tháng 3/2026, bệnh viện ghi nhận 106 trường hợp điều trị nội trú và 569 trường hợp điều trị ngoại trú. Chỉ tính từ ngày 1 đến 14/4, đã có thêm 92 trẻ phải nhập viện và 435 trẻ được điều trị ngoại trú. Đây là tín hiệu cảnh báo nguy cơ gia tăng và lây lan bệnh trong cộng đồng, đặc biệt trong điều kiện thời tiết giao mùa, nóng ẩm như hiện nay.
19:55 17/04/2026
Tin khác
LỊCH 115 ngày 23/4/2026 TRỰC, VẬN CHUYỂN CẤP CỨU
LỊCH 115 ngày 23/4/2026 TRỰC, VẬN CHUYỂN CẤP CỨU
(Ngày 23 tháng 4 năm 2026)
1 giờ trước
LỊCH 115 ngày 22/4/2026 TRỰC, VẬN CHUYỂN CẤP CỨU
LỊCH 115 ngày 22/4/2026 TRỰC, VẬN CHUYỂN CẤP CỨU
(Ngày 22 tháng 4 năm 2026)
1 giờ trước
Thu hồi thuốc Mexiprim 4 không đạt yêu cầu chất lượng
Thu hồi thuốc Mexiprim 4 không đạt yêu cầu chất lượng
Để đảm bảo sức khỏe cũng như quyền lợi hợp pháp của người tiêu dùng trên địa bàn thành phố Hà Nội, Sở Y tế Hà Nội thông báo thu hồi Mexiprim 4 (thuốc cốm Montelukast 4mg) do Công ty cổ phần Dược phẩm Trung ương 2 sản xuất tại các cơ sở kinh doanh dược, cơ sở khám bệnh, chữa bệnh trên địa bàn thành phố và các cơ sở kinh doanh dược, cơ sở khám bệnh, chữa bệnh không nằm trên địa bàn Hà Nội đã mua lô thuốc trên do Công ty cổ phần Đầu tư và Phát triển Thương mại Ngôi Sao Việt cung cấp.
2 giờ trước
Thông tin y tế trên báo chí ngày 21/4/2026
Thông tin y tế trên báo chí ngày 21/4/2026
* Tăng cường liên kết tuyến: Nâng cao chất lượng y tế cơ sở tại phường Kiến Hưng
2 giờ trước
Từ lớp học đến cộng đồng - Hành động ngay hôm nay để đẩy lùi bệnh tay chân miệng
Từ lớp học đến cộng đồng - Hành động ngay hôm nay để đẩy lùi bệnh tay chân miệng
Thời tiết tại Hà Nội đang bước vào giai đoạn giao mùa, đây cũng là thời điểm nhiều dịch bệnh truyền nhiễm có điều kiện thuận lợi để phát triển gây dịch. Trong đó, bệnh tay chân miệng ở trẻ nhỏ đang có xu hướng gia tăng, tiềm ẩn nhiều nguy cơ nếu không được kiểm soát kịp thời.
2 giờ trước
Hội nghị nghiên cứu, học tập, quán triệt, tuyên truyền Nghị quyết số 02-NQ/TW của Bộ Chính trị, Chương trình hành động của Thành uỷ Hà Nội và Chỉ thị số 09-CT/TW của Ban Thường vụ Thành ủy
Hội nghị nghiên cứu, học tập, quán triệt, tuyên truyền Nghị quyết số 02-NQ/TW của Bộ Chính trị, Chương trình hành động của Thành uỷ Hà Nội và Chỉ thị số 09-CT/TW của Ban Thường vụ Thành ủy
Ngày 20/4, Đảng ủy Trung tâm Công tác xã hội và Quỹ Bảo trợ trẻ em Hà Nội tổ chức hội nghị Nghiên cứu, học tập, quán triệt, tuyên truyền Nghị quyết số 02-NQ/TW ngày 17/3/2026 của Bộ Chính trị và Chỉ thị số 09-CT/TU ngày 23/3/2026 của Ban Thường vụ Thành ủy Hà Nội với sự tham dự của toàn thể đảng viên, viên chức, người lao động Trung tâm.
6 giờ trước
Hà Nội phát động chiến dịch vệ sinh môi trường, chủ động phòng chống bệnh tay chân miệng
Hà Nội phát động chiến dịch vệ sinh môi trường, chủ động phòng chống bệnh tay chân miệng
Ngày 21/4, Sở Y tế Hà Nội phối hợp với UBND phường Hà Đông tổ chức phát động chiến dịch "Vệ sinh môi trường, khử khuẩn phòng, chống dịch bệnh tay chân miệng trong trường học" trên địa bàn thành phố Hà Nội năm 2026, nhằm kiểm soát hiệu quả dịch bệnh và nâng cao ý thức phòng bệnh trong cộng đồng.
6 giờ trước
Giảm tỷ lệ mù lòa xuống dưới 4,3 người/1000 dân
Giảm tỷ lệ mù lòa xuống dưới 4,3 người/1000 dân
Sở Y tế Hà Nội vừa ban hành kế hoạch 3420/KH-SYT về phòng chống mù lòa trên địa bàn thành phố Hà Nội nhằm phát hiện sớm, điều trị và phục hồi chức năng mắt, giảm tỷ lệ các bệnh gây mù lòa có thể phòng chống được, loại trừ các nguyên nhân chính gây mù lòa cho người dân trên địa bàn thành phố.
16:32 20/04/2026
V/v đánh giá đáp ứng
V/v đánh giá đáp ứng "Thực hành tốt phân phối thuốc, nguyên liệu làm thuốc"
3459/SYT-NVD
16:22 20/04/2026
Y tế Hà Nội: Tăng tính khách quan trong khảo sát sự hài lòng người bệnh
Y tế Hà Nội: Tăng tính khách quan trong khảo sát sự hài lòng người bệnh
Trong quý I/2026, điểm nổi bật của ngành Y tế Hà Nội trong đánh giá sự hài lòng của người bệnh là triển khai khảo sát độc lập thông qua mã QR code trên diện rộng.
16:10 20/04/2026