Điều trị thành công ca viêm phổi cộng đồng trên bệnh nhân xơ gan, viêm gan B tại Bệnh viện Đa khoa Vân Đình

14:07 06/10/2025

Khoa Nội Tổng hợp – Bệnh viện Đa khoa Vân Đình vừa điều trị thành công trường hợp bệnh nhân nam 52 tuổi mắc viêm phổi cộng đồng nặng trên nền xơ gan, viêm gan B mạn tính và có tiền sử lạm dụng rượu. Đây là ca bệnh phức tạp do người bệnh mang nhiều yếu tố nguy cơ khiến quá trình điều trị trở nên khó khăn hơn.

Điều trị thành công ca viêm phổi cộng đồng trên bệnh nhân xơ gan, viêm gan B tại Bệnh viện Đa khoa Vân Đình- Ảnh 1.

Điều trị thành công ca viêm phổi cộng đồng trên bệnh nhân xơ gan, viêm gan B tại Bệnh viện Đa khoa Vân Đình- Ảnh 2.

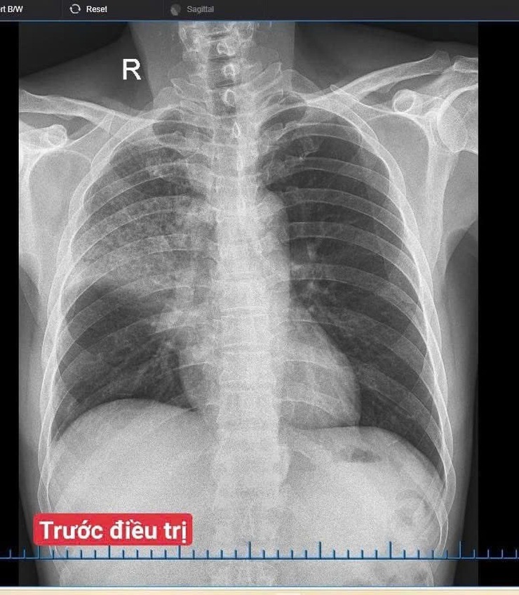
Hình ảnh trước và sau điều trị của người bệnh

Bệnh nhân nhập viện trong tình trạng sốt cao, ho nhiều, khạc đờm đục, đau ngực và khó thở. Sau khi thăm khám, làm các xét nghiệm cần thiết, bác sĩ chẩn đoán viêm phổi cộng đồng nặng trên bệnh nhân có bệnh lý gan mạn tính. Người bệnh được điều trị tích cực bằng kháng sinh theo kháng sinh đồ, kết hợp hỗ trợ gan, bù dịch – điện giải và theo dõi sát hô hấp.

Sau 7 ngày điều trị, tình trạng bệnh nhân cải thiện rõ rệt: hết sốt, giảm ho, giảm đau ngực, ăn ngủ tốt, chỉ số sinh tồn ổn định.

Các bác sĩ cho biết, viêm phổi ở người có bệnh gan mạn, nghiện rượu hoặc suy giảm miễn dịch rất dễ diễn biến nặng, có thể gây suy hô hấp, nhiễm khuẩn huyết, thậm chí tử vong nếu không được phát hiện và điều trị kịp thời. Trường hợp trên là minh chứng cho hiệu quả của việc chẩn đoán sớm và điều trị tích cực, góp phần bảo vệ tính mạng người bệnh mắc bệnh nền.

Bác sĩ khuyến cáo, những người có bệnh lý gan mạn, hút thuốc, uống rượu hoặc suy giảm miễn dịch cần khám sức khỏe định kỳ, đặc biệt khi xuất hiện các triệu chứng như sốt cao, ho, khạc đờm, đau ngực, cần đến ngay cơ sở y tế để được thăm khám và điều trị kịp thời.

Khánh Chi

Tin đọc nhiều

LỊCH 115 ngày 6/4/2026 TRỰC, VẬN CHUYỂN CẤP CỨU

7 giờ trước

(Ngày 6 tháng 4 năm 2026)

LỊCH 115 ngày 5/4/2026 TRỰC, VẬN CHUYỂN CẤP CỨU

7 giờ trước

(Ngày 5 tháng 4 năm 2026)

LỊCH 115 ngày 4/4/2026 TRỰC, VẬN CHUYỂN CẤP CỨU

7 giờ trước

(Ngày 4 tháng 4 năm 2026)

Tiêm chủng vắc xin đầy đủ để phòng ngừa ho gà hiệu quả

20 giờ trước

Vừa qua, Khoa Nhi – Bệnh viện đa khoa Đống Đa đã tiếp nhận một bệnh nhi 10 tháng tuổi nhập viện vì ho kéo dài một tuần. Trẻ không sốt, gia đình đã tự điều trị bằng thuốc thông thường tại nhà nhưng không cải thiện.

Tin cùng chuyên mục
Xem theo ngày
Xem
Không chủ quan với đau vai sau khi tập thể dục – cảnh báo nguy cơ chấn thương tiềm ẩn
Không chủ quan với đau vai sau khi tập thể dục – cảnh báo nguy cơ chấn thương tiềm ẩn
Đau nhức sau tập luyện là hiện tượng quen thuộc với nhiều người, đặc biệt khi mới bắt đầu hoặc tăng cường độ vận động. Tuy nhiên, khi đau xuất hiện ngay trong lúc tập, đau rõ tại một vị trí, có thể kèm sưng nề và hạn chế vận động. Đây có thể tình trạng dẫn đến chấn thương nghiêm trọng, ảnh hưởng lâu dài đến sức khỏe mà người tập không nên chủ quan.
20 giờ trước
Rối loạn tâm thần ở người cao tuổi cần phát hiện sớm để điều trị hiệu quả
Rối loạn tâm thần ở người cao tuổi cần phát hiện sớm để điều trị hiệu quả
Trong thời gian gần đây, Bệnh viện đa khoa (BVĐK) Ba Vì đã tiếp nhận và điều trị thành công nhiều trường hợp rối loạn tâm thần phức tạp, trong đó có những ca bệnh kéo dài, diễn biến nặng.
20 giờ trước
Bệnh viện đa khoa Đức Giang: Lần đầu triển khai kỹ thuật ghép giác mạc xuyên, tiến tới làm chủ ghép đa tạng
Bệnh viện đa khoa Đức Giang: Lần đầu triển khai kỹ thuật ghép giác mạc xuyên, tiến tới làm chủ ghép đa tạng
Hai người bệnh suy giảm thị lực nghiêm trọng do loạn dưỡng giác mạc, từng đứng trước nguy cơ mất thị lực vĩnh viễn đã được phẫu thuật ghép giác mạc xuyên thành công tại Bệnh viện đa khoa (BVĐK) Đức Giang. Thành công này không chỉ mở ra cơ hội nhìn lại ánh sáng cho người bệnh mà còn đánh dấu bước tiến quan trọng trong phát triển chuyên môn tại cơ sở y tế hạng I của Thủ đô.
09:12 02/04/2026
Không chủ quan với suy thận cấp
Không chủ quan với suy thận cấp
Vừa qua, Bệnh viện đa khoa Sóc Sơn đã điều trị thành công cho người bệnh 93 tuổi suy thận cấp nguy kịch. Trường hợp người bệnh Nguyễn Thị L., nhập viện với biểu hiện mệt lả, khó thở, suy kiệt sau nhiều ngày diễn biến tại nhà.
09:12 02/04/2026
Cấp cứu kịp thời ca chấn thương hàm mặt phức tạp, phục hồi thị lực cho người bệnh
Cấp cứu kịp thời ca chấn thương hàm mặt phức tạp, phục hồi thị lực cho người bệnh
Bệnh viện Hữu nghị Việt Nam - Cu Ba vừa tiếp nhận và xử trí thành công một trường hợp chấn thương hàm mặt phức tạp, giúp người bệnh phục hồi chức năng thị giác và ổn định sinh hoạt.
09:12 02/04/2026
Đừng chủ quan với cơn đau bụng kéo dài: cảnh báo từ ca lâm sàng lồng ruột hiếm gặp
Đừng chủ quan với cơn đau bụng kéo dài: cảnh báo từ ca lâm sàng lồng ruột hiếm gặp
Các bác sĩ tại Bệnh viện Lão khoa Hà Nội vừa đưa ra cảnh báo về nguy cơ tiềm ẩn đằng sau những cơn đau bụng kéo dài - triệu chứng thường bị nhiều người xem nhẹ và tự ý điều trị tại nhà. Nhiều người có thói quen " tự làm bác sĩ" khi đau bụng chỉ mua thuốc giảm đau hoặc men tiêu hóa về uống. Tuy nhiên sau những cơn đau tưởng chừng âm ỉ ấy có thể là những diễn biến cực kỳ nguy hiểm.
09:11 02/04/2026
Tin khác
 LỊCH 115 ngày 6/4/2026 TRỰC, VẬN CHUYỂN CẤP CỨU
LỊCH 115 ngày 6/4/2026 TRỰC, VẬN CHUYỂN CẤP CỨU
(Ngày 6 tháng 4 năm 2026)
7 giờ trước
LỊCH 115 ngày 5/4/2026 TRỰC, VẬN CHUYỂN CẤP CỨU
LỊCH 115 ngày 5/4/2026 TRỰC, VẬN CHUYỂN CẤP CỨU
(Ngày 5 tháng 4 năm 2026)
7 giờ trước
 LỊCH 115 ngày 4/4/2026 TRỰC, VẬN CHUYỂN CẤP CỨU
LỊCH 115 ngày 4/4/2026 TRỰC, VẬN CHUYỂN CẤP CỨU
(Ngày 4 tháng 4 năm 2026)
7 giờ trước
THƯ MỜI BÁO GIÁ v/v cung cấp số liệu Đề án định vị, kết nối ứng dụng công nghệ Internets vạn vật (IoT) trong điều phối phương tiện vận chuyển, xây dựng Trung tâm cấp cứu thông minh trên địa bàn TP HN
THƯ MỜI BÁO GIÁ v/v cung cấp số liệu Đề án định vị, kết nối ứng dụng công nghệ Internets vạn vật (IoT) trong điều phối phương tiện vận chuyển, xây dựng Trung tâm cấp cứu thông minh trên địa bàn TP HN
154/GM-SYT
8 giờ trước
Tiêm chủng vắc xin đầy đủ để phòng ngừa ho gà hiệu quả
Tiêm chủng vắc xin đầy đủ để phòng ngừa ho gà hiệu quả
Vừa qua, Khoa Nhi – Bệnh viện đa khoa Đống Đa đã tiếp nhận một bệnh nhi 10 tháng tuổi nhập viện vì ho kéo dài một tuần. Trẻ không sốt, gia đình đã tự điều trị bằng thuốc thông thường tại nhà nhưng không cải thiện.
20 giờ trước
Người dân cần chủ động các biện pháp phòng, chống bệnh tay chân miệng
Người dân cần chủ động các biện pháp phòng, chống bệnh tay chân miệng
Bệnh tay chân miệng là bệnh truyền nhiễm thường gặp ở trẻ nhỏ, có khả năng lây lan nhanh trong cộng đồng, đặc biệt tại các cơ sở giáo dục mầm non và tiểu học. Phần lớn các trường hợp có diễn biến nhẹ và có thể tự khỏi. Tuy nhiên, thực tế ghi nhận không ít ca bệnh chuyển nặng với các biến chứng nguy hiểm, thậm chí đe dọa tính mạng nếu không được phát hiện sớm và xử trí kịp thời.
20 giờ trước
Thông tin y tế trên báo chí ngày 2/4/2026
Thông tin y tế trên báo chí ngày 2/4/2026
*Hà Nội bứt phá về năng lực cấp cứu ngoại viện
20 giờ trước
LỊCH 115 ngày 03/4/2026 TRỰC, VẬN CHUYỂN CẤP CỨU
LỊCH 115 ngày 03/4/2026 TRỰC, VẬN CHUYỂN CẤP CỨU
(Ngày 03 tháng 4 năm 2026)
15:48 02/04/2026
Ngọn đèn truyền cảm hứng
Ngọn đèn truyền cảm hứng
Có những buổi sáng, người ta bắt đầu ngày mới bằng tiếng chuông báo thức. Nhưng ở một nơi, ngày mới lại bắt đầu bằng những âm thanh rất khác. Đó là “tiếng thở”. Tiếng thở đều đặn khi bình yên. Tiếng thở gấp gáp khi cơn bất ổn kéo đến và cả tiếng thở đứt quãng của những nỗi buồn không gọi thành tên. Giữa không gian ấy có một ngọn đèn, một ánh sáng le lói thắp lên niềm tin, niềm hy vọng giúp tôi và đồng nghiệp càng thêm yêu người, yêu nghề và yêu cả những tiếng thở đều đặn ấy.
14:19 02/04/2026
Công bố công khai số liệu dự toán chi ngân sách năm 2026 của các đơn vị trực thuộc Sở Y tế Hà Nội (lần 4)
Công bố công khai số liệu dự toán chi ngân sách năm 2026 của các đơn vị trực thuộc Sở Y tế Hà Nội (lần 4)
1258/QĐ-SYT
09:23 02/04/2026