Áp dụng kỹ thuật cao trong phẫu thuật chấn thương chỉnh hình mang lại lợi ích cho người bệnh

16:31 23/01/2026

Mới đây, khoa Ngoại tổng hợp – Bệnh viện đa khoa Sóc Sơn đã phẫu thuật thành công cho bệnh nhân L.T.G (51 tuổi – xã Trung Giã) bị gãy xương cẳng chân sau tại nạn xe máy nghiêm trọng. Được biết người bệnh nhập viện trong tình trạng đau dữ dội, biến dạng vùng dưới cẳng chân trái không vận động được cổ chân trái.

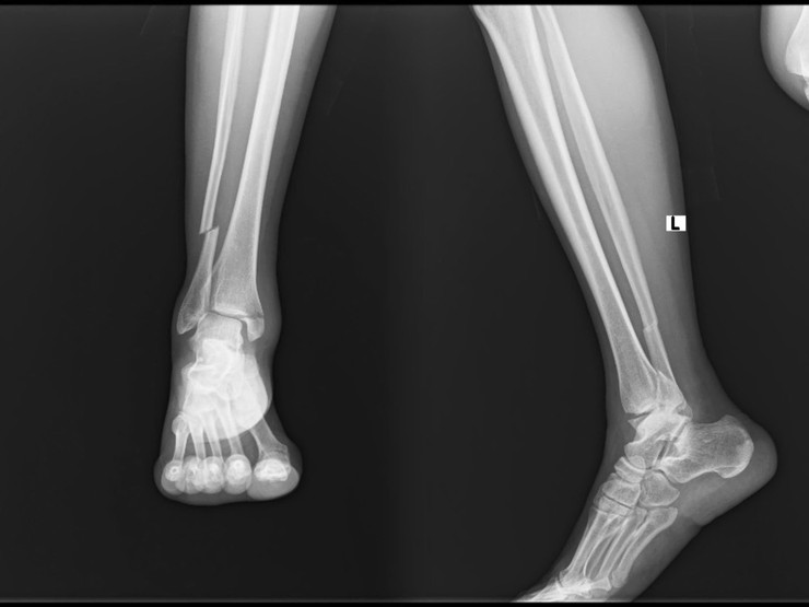
Kết quả chụp X-Quang cho thấy bệnh nhân bị gãy mắt cá trong, mắt cá ngoài, mắt cá sau, trật khớp cổ chân trái. Đây là tổn thương nặng cần được phẫu thuật cấp cứu để hạn chế biến chứng và bảo tồn chức năng chi thể

Chỉ vài giờ sau khi nhập viện, bệnh nhân được hoàn tất thăm khám, hội chẩn và lựa chọn phương án phẫu thuật nắn chỉnh, kết hợp xương trên màn hình tăng sáng/ tê tủy sống. Việc phẫu thuật sớm trong 24h đầu giúp đưa khớp và xương gãy về vị trí giải phẫu, giảm tỷ lệ nhiễm trùng, làm vững khớp, giảm đau, đảm bảo tưới máu nuôi dưỡng tốt, từ đó tạo điều kiện cho người bệnh phục hồi sớm.

Sau hơn 1 giờ phẫu thuật, mắt cá chân người bệnh được đưa về vị trí giải phẫu và được cố định bằng phương tiện kết xương với đường mổ nhỏ. Hiện tại, bệnh nhân được xuất viện, vết mổ khô, liền tốt, chỉ đau nhẹ khi vận động, đang trong quá trình tập phục hồi chức năng để phục hồi vận động.

Áp dụng kỹ thuật cao trong phẫu thuật chấn thương chỉnh hình mang lại lợi ích cho người bệnh- Ảnh 1.

Phim chụp tai nạn bệnh nhân trước khi phẫu thuật.

Phẫu thuật kết hợp xương dưới màn hình tăng sáng (máy C-arm) là một kỹ thuật ngoại khoa hiện đại, sử dụng hệ thống phát tia X di động để cung cấp hình ảnh cấu trúc xương theo thời gian thực ngay trong phòng mổ mà Bệnh viện đa khoa Sóc Sơn áp dụng trong điều trị giúp người bệnh đạt kết quả tốt nhất.

Theo các bác sĩ Bệnh viện đa khoa Sóc Sơn, ưu điểm của phương pháp này cho phép phẫu thuật với vết mổ nhỏ (đôi khi chỉ vài mm), bảo tồn tối đa nguồn cung cấp máu cho xương và các mô mềm xung quanh; có độ chính xác cao bác sĩ có thể định vị chính xác vị trí gãy và kiểm soát việc đặt dụng cụ cố định vào đúng vị trí giải phẫu, tránh lệch trục; giúp người bệnh hồi phục nhanh giảm đau sau mổ, hạn chế mất máu và nguy cơ nhiễm trùng, giúp bệnh nhân vận động sớm hơn so với phương pháp mổ mở truyền thống; đồng thời khi phẫu thuật bằng phương pháp này các vết mổ nhỏ gần như không để lại sẹo lớn.

Lê Hoà

Tin đọc nhiều

Tiêm chủng vắc xin đầy đủ để phòng ngừa ho gà hiệu quả

7 giờ trước

Vừa qua, Khoa Nhi – Bệnh viện đa khoa Đống Đa đã tiếp nhận một bệnh nhi 10 tháng tuổi nhập viện vì ho kéo dài một tuần. Trẻ không sốt, gia đình đã tự điều trị bằng thuốc thông thường tại nhà nhưng không cải thiện.

Không chủ quan với đau vai sau khi tập thể dục – cảnh báo nguy cơ chấn thương tiềm ẩn

7 giờ trước

Đau nhức sau tập luyện là hiện tượng quen thuộc với nhiều người, đặc biệt khi mới bắt đầu hoặc tăng cường độ vận động. Tuy nhiên, khi đau xuất hiện ngay trong lúc tập, đau rõ tại một vị trí, có thể kèm sưng nề và hạn chế vận động. Đây có thể tình trạng dẫn đến chấn thương nghiêm trọng, ảnh hưởng lâu dài đến sức khỏe mà người tập không nên chủ quan.

Rối loạn tâm thần ở người cao tuổi cần phát hiện sớm để điều trị hiệu quả

7 giờ trước

Trong thời gian gần đây, Bệnh viện đa khoa (BVĐK) Ba Vì đã tiếp nhận và điều trị thành công nhiều trường hợp rối loạn tâm thần phức tạp, trong đó có những ca bệnh kéo dài, diễn biến nặng.

Người dân cần chủ động các biện pháp phòng, chống bệnh tay chân miệng

8 giờ trước

Bệnh tay chân miệng là bệnh truyền nhiễm thường gặp ở trẻ nhỏ, có khả năng lây lan nhanh trong cộng đồng, đặc biệt tại các cơ sở giáo dục mầm non và tiểu học. Phần lớn các trường hợp có diễn biến nhẹ và có thể tự khỏi. Tuy nhiên, thực tế ghi nhận không ít ca bệnh chuyển nặng với các biến chứng nguy hiểm, thậm chí đe dọa tính mạng nếu không được phát hiện sớm và xử trí kịp thời.

Thông tin y tế trên báo chí ngày 2/4/2026

8 giờ trước

*Hà Nội bứt phá về năng lực cấp cứu ngoại viện

Tin cùng chuyên mục
Xem theo ngày
Xem
Không chủ quan với đau vai sau khi tập thể dục – cảnh báo nguy cơ chấn thương tiềm ẩn
Không chủ quan với đau vai sau khi tập thể dục – cảnh báo nguy cơ chấn thương tiềm ẩn
Đau nhức sau tập luyện là hiện tượng quen thuộc với nhiều người, đặc biệt khi mới bắt đầu hoặc tăng cường độ vận động. Tuy nhiên, khi đau xuất hiện ngay trong lúc tập, đau rõ tại một vị trí, có thể kèm sưng nề và hạn chế vận động. Đây có thể tình trạng dẫn đến chấn thương nghiêm trọng, ảnh hưởng lâu dài đến sức khỏe mà người tập không nên chủ quan.
7 giờ trước
Rối loạn tâm thần ở người cao tuổi cần phát hiện sớm để điều trị hiệu quả
Rối loạn tâm thần ở người cao tuổi cần phát hiện sớm để điều trị hiệu quả
Trong thời gian gần đây, Bệnh viện đa khoa (BVĐK) Ba Vì đã tiếp nhận và điều trị thành công nhiều trường hợp rối loạn tâm thần phức tạp, trong đó có những ca bệnh kéo dài, diễn biến nặng.
7 giờ trước
Cấp cứu kịp thời ca chấn thương hàm mặt phức tạp, phục hồi thị lực cho người bệnh
Cấp cứu kịp thời ca chấn thương hàm mặt phức tạp, phục hồi thị lực cho người bệnh
Bệnh viện Hữu nghị Việt Nam - Cu Ba vừa tiếp nhận và xử trí thành công một trường hợp chấn thương hàm mặt phức tạp, giúp người bệnh phục hồi chức năng thị giác và ổn định sinh hoạt.
09:12 02/04/2026
Bệnh viện đa khoa Đức Giang: Lần đầu triển khai kỹ thuật ghép giác mạc xuyên, tiến tới làm chủ ghép đa tạng
Bệnh viện đa khoa Đức Giang: Lần đầu triển khai kỹ thuật ghép giác mạc xuyên, tiến tới làm chủ ghép đa tạng
Hai người bệnh suy giảm thị lực nghiêm trọng do loạn dưỡng giác mạc, từng đứng trước nguy cơ mất thị lực vĩnh viễn đã được phẫu thuật ghép giác mạc xuyên thành công tại Bệnh viện đa khoa (BVĐK) Đức Giang. Thành công này không chỉ mở ra cơ hội nhìn lại ánh sáng cho người bệnh mà còn đánh dấu bước tiến quan trọng trong phát triển chuyên môn tại cơ sở y tế hạng I của Thủ đô.
09:12 02/04/2026
Không chủ quan với suy thận cấp
Không chủ quan với suy thận cấp
Vừa qua, Bệnh viện đa khoa Sóc Sơn đã điều trị thành công cho người bệnh 93 tuổi suy thận cấp nguy kịch. Trường hợp người bệnh Nguyễn Thị L., nhập viện với biểu hiện mệt lả, khó thở, suy kiệt sau nhiều ngày diễn biến tại nhà.
09:12 02/04/2026
Đừng chủ quan với cơn đau bụng kéo dài: cảnh báo từ ca lâm sàng lồng ruột hiếm gặp
Đừng chủ quan với cơn đau bụng kéo dài: cảnh báo từ ca lâm sàng lồng ruột hiếm gặp
Các bác sĩ tại Bệnh viện Lão khoa Hà Nội vừa đưa ra cảnh báo về nguy cơ tiềm ẩn đằng sau những cơn đau bụng kéo dài - triệu chứng thường bị nhiều người xem nhẹ và tự ý điều trị tại nhà. Nhiều người có thói quen " tự làm bác sĩ" khi đau bụng chỉ mua thuốc giảm đau hoặc men tiêu hóa về uống. Tuy nhiên sau những cơn đau tưởng chừng âm ỉ ấy có thể là những diễn biến cực kỳ nguy hiểm.
09:11 02/04/2026
Tin khác
Tiêm chủng vắc xin đầy đủ để phòng ngừa ho gà hiệu quả
Tiêm chủng vắc xin đầy đủ để phòng ngừa ho gà hiệu quả
Vừa qua, Khoa Nhi – Bệnh viện đa khoa Đống Đa đã tiếp nhận một bệnh nhi 10 tháng tuổi nhập viện vì ho kéo dài một tuần. Trẻ không sốt, gia đình đã tự điều trị bằng thuốc thông thường tại nhà nhưng không cải thiện.
7 giờ trước
Người dân cần chủ động các biện pháp phòng, chống bệnh tay chân miệng
Người dân cần chủ động các biện pháp phòng, chống bệnh tay chân miệng
Bệnh tay chân miệng là bệnh truyền nhiễm thường gặp ở trẻ nhỏ, có khả năng lây lan nhanh trong cộng đồng, đặc biệt tại các cơ sở giáo dục mầm non và tiểu học. Phần lớn các trường hợp có diễn biến nhẹ và có thể tự khỏi. Tuy nhiên, thực tế ghi nhận không ít ca bệnh chuyển nặng với các biến chứng nguy hiểm, thậm chí đe dọa tính mạng nếu không được phát hiện sớm và xử trí kịp thời.
8 giờ trước
Thông tin y tế trên báo chí ngày 2/4/2026
Thông tin y tế trên báo chí ngày 2/4/2026
*Hà Nội bứt phá về năng lực cấp cứu ngoại viện
8 giờ trước
LỊCH 115 ngày 03/4/2026 TRỰC, VẬN CHUYỂN CẤP CỨU
LỊCH 115 ngày 03/4/2026 TRỰC, VẬN CHUYỂN CẤP CỨU
(Ngày 03 tháng 4 năm 2026)
15:48 02/04/2026
Ngọn đèn truyền cảm hứng
Ngọn đèn truyền cảm hứng
Có những buổi sáng, người ta bắt đầu ngày mới bằng tiếng chuông báo thức. Nhưng ở một nơi, ngày mới lại bắt đầu bằng những âm thanh rất khác. Đó là “tiếng thở”. Tiếng thở đều đặn khi bình yên. Tiếng thở gấp gáp khi cơn bất ổn kéo đến và cả tiếng thở đứt quãng của những nỗi buồn không gọi thành tên. Giữa không gian ấy có một ngọn đèn, một ánh sáng le lói thắp lên niềm tin, niềm hy vọng giúp tôi và đồng nghiệp càng thêm yêu người, yêu nghề và yêu cả những tiếng thở đều đặn ấy.
14:19 02/04/2026
Công bố công khai số liệu dự toán chi ngân sách năm 2026 của các đơn vị trực thuộc Sở Y tế Hà Nội (lần 4)
Công bố công khai số liệu dự toán chi ngân sách năm 2026 của các đơn vị trực thuộc Sở Y tế Hà Nội (lần 4)
1258/QĐ-SYT
09:23 02/04/2026
Thông tin y tế trên báo chí ngày 1/4/2026
Thông tin y tế trên báo chí ngày 1/4/2026
* Ngày Sức khỏe toàn dân 2026: Chủ động phòng bệnh - Vì một Việt Nam khỏe mạnh
09:14 02/04/2026
Đồng bộ các biện pháp phòng chống bệnh tay chân miệng đang gia tăng
Đồng bộ các biện pháp phòng chống bệnh tay chân miệng đang gia tăng
Trước tình hình dịch bệnh tay chân miệng đang có dấu hiệu gia tăng, ngành y tế và các địa phương, trường học trên địa bàn thành phố Hà Nội tích cực, chủ động vào cuộc triển khai các biện pháp phòng chống và kiểm soát, không để lây lan, bùng phát dịch bệnh, chủ động bảo vệ sức khỏe nhân dân.
09:13 02/04/2026
Sắt - Vi chất quan trọng cho sự phát triển toàn diện của trẻ
Sắt - Vi chất quan trọng cho sự phát triển toàn diện của trẻ
Sắt là vi chất thiết yếu, đóng vai trò quan trọng trong việc duy trì sức khỏe và hỗ trợ sự phát triển toàn diện, đặc biệt ở trẻ em.
09:10 02/04/2026
Thu hồi thuốc Pentovas
Thu hồi thuốc Pentovas
Để đảm bảo sức khỏe cũng như quyền lợi hợp pháp của người tiêu dùng trên địa bàn thành phố Hà Nội, Sở Y tế Hà Nội thông báo thu hồi thuốc Pentovas do Công ty cổ phần S.P.M sản xuất tại các cơ sở kinh doanh dược, cơ sở khám bệnh, chữa bệnh trên địa bàn thành phố Hà Nội và các cơ sở kinh doanh dược, cơ sở khám bệnh, chữa bệnh không nằm trên địa bàn Hà Nội đã mua lô thuốc trên do Công ty TNHH Dược phẩm An Thịnh (nếu có).
09:04 02/04/2026